Smile Gallery
LoPresti Cosmetic And Family Smile Gallery
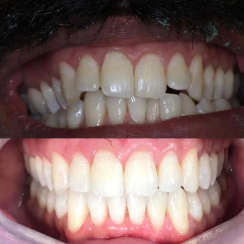
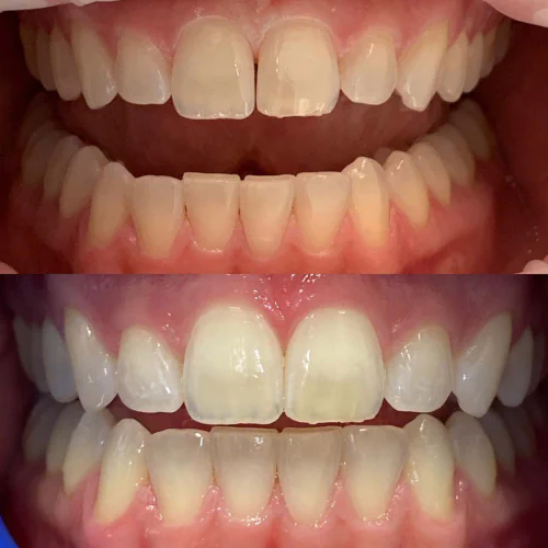
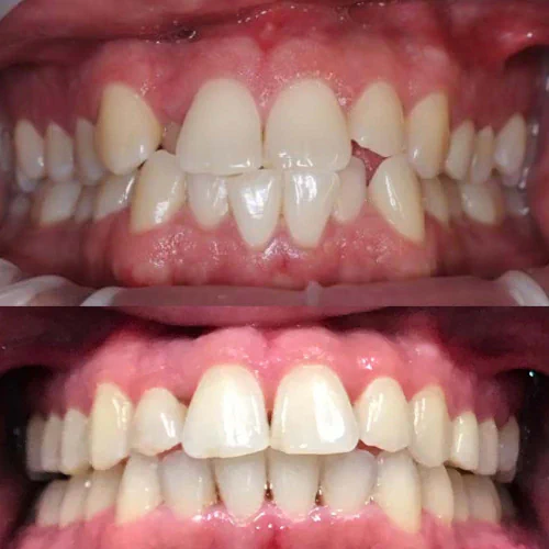
We are proud to be able to provide patients with the healthy, beautiful smiles that they’ve always dreamed of. These are some examples of actual procedures performed in our office. Do you like what you see? Schedule an appointment today!
Schedule Online




