Invisalign® in Stamford, CT
Receive the best Invisalign® treatment for an even better price. Most other offices charge between $5,000 and $7,000.
Get Invisalign® in Stamford, CT at a New Low Price
We’ve reduced our Invisalign® price to $4,978! This makes us one of the most affordable—and experienced—Invisalign® providers in Connecticut. The out-of-pocket cost can vary based on insurance coverage. Most insurance plans cover some portion of Invisalign® the same way they cover metal braces.
We have many payment options—including third-party financing through CareCredit®, Sunbit and Proceed Finance—that can offer low monthly payments or no-interest payment options. We also offer in-house financing in some cases. If you have any financial questions, please contact our office and we will be happy to discuss your insurance coverage or additional payment options available.
Book Your Invisalign® Consultation
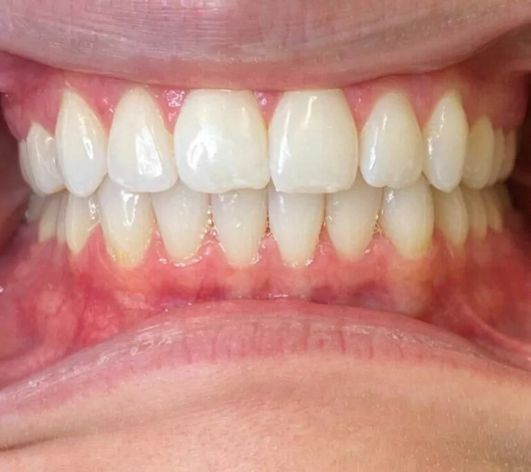
What is Invisalign®?
Invisalign® aligners are an effective and discreet orthodontic treatment option that are worn comfortably over your teeth to continuously adjust alignment and spacing.
Invisalign® aligners are custom-made using models of both your current teeth and the end result you hope to achieve. With Invisalign® aligners, you will switch to new aligners about every two weeks with each set shifting the teeth slightly—this continues until you have achieved your final results, which usually takes about 20-40 weeks, but sometimes can take longer.
You remove the Invisalign® aligners for eating, drinking and cleaning only. At first, they will feel very tight, but they will begin to loosen and feel more comfortable after a few days.

What’s Included in my Invisalign® Treatment?
When you choose LoPresti Cosmetic and Family Dentistry for Invisalign®, you receive all of the following for $4,978:
- Initial consultation
- X-rays
- Photos
- All visits
- Scans and impressions
- All Invisalign® treatment
- Any necessary corrections or revisions
- 1 free set of retainers
The whole process was smooth and easy and I am very happy with the final outcome
- Tim L.
The whole process was done so professionally. I would not only recommend Invisalign to anyone wanting to correct their teeth, but I would highly suggest they get it done here for perfection!
- Evan K.
I was curious about Invisalign for a few years. My only regret is that I didn't do it sooner
- Lee G.
The experience was great + relatively easy! Dr. LoPresti + the team are fantastic!
- Jen M.
It was great! Amazing service!!
- Justin S.
Very happy with my Invisalign treatment + Dr. LoPresti + team. The process was easy and the results are great!
- Becky W.
Interested in Invisalign®?
If you would like to setup an Invisalign® consultation, if you have any questions about how Invisalign® works, or if you’re unsure if Invisalign® is right for you—contact us. We offer virtual Invisalign® consultations.
Schedule Your Consultation Online Call or Text Us See All Services
Request More Information
How Does the Invisalign® Process Work?
To begin, we will take photographs of your teeth and face, dental impressions of your teeth and X-rays. Those records are sent to Invisalign® with detailed instructions on how we want the final result to appear. Invisalign® will scan the impressions to create a 3D model of the teeth and work with your dentist to get the mold to its exact proportions. Once final, the trays are made and mailed to your dentist’s office. You will wear a set of trays for two weeks at a time for approximately 2 years, or the length of time determined by your dentist.
Invisalign® vs. Braces – What’s the Difference?
There are many differences between Invisalign® and braces, we’ve listed some of the largest ones here. Ultimately, the decision is up to you, but the introduction of Invisalign® to the market introduced a more efficient, less painful way to straighten teeth.
- Materials. Invisalign® uses clear, transparent aligners, while braces use wires and brackets.
- Removability. Invisalign® aligners can be removed by the user at any time, while braces can only be removed by a professional.
- Food Restrictions. Invisalign® allows a user to eat whatever they would like and not make changes to their oral care practices, while braces restrict what the user can safely eat and require special maintenance and care.
- Injury Risks. Invisalign® aligners do not present any injury risks, while braces can lead to cuts and other injuries.
- Visibility. Invisalign® aligners are nearly impossible for others to notice, while braces are almost impossible to miss.
Who Can Use Invisalign®?
Most teens and adult patients requiring mild to moderate orthodontic corrections can use Invisalign®. This includes patients with teeth that are crooked and misaligned or teeth that feature noticeable spacing problems. Invisalign® can even help patients with minor bite issues—however, not all orthodontic issues can be treated with Invisalign®. More extensive problems will require additional treatment.

FAQs
-
How long does Invisalign® treatment take?
The length of Invisalign® treatment varies depending on the complexity of the case, but typically it ranges from about 6 to 18 months.
-
Does Invisalign® hurt?
Some patients may experience mild discomfort or pressure when they first start wearing Invisalign® aligners or when switching to a new set. However, this discomfort is usually temporary and can be managed with over-the-counter pain relievers if necessary.
-
Can I eat and drink with Invisalign®?
Invisalign® aligners should be removed before eating or drinking anything except water. This helps prevent damage to the aligners and allows you to enjoy your favorite foods without restrictions.
-
How often do I need to wear my Invisalign® aligners?
Invisalign® aligners should be worn for about 22 hours a day, only being removed for eating, drinking (except water), brushing, and flossing.
-
Can Invisalign® fix all orthodontic problems?
Invisalign® can effectively treat a wide range of orthodontic issues, including crowded teeth, gaps, overbites, underbites, and crossbites. However, severe cases may require alternative treatment options such as traditional braces or surgery.